Space Maintenance2026-01-11T23:12:57+00:00

Space Maintenance in Shorewood, WI

While it’s true that baby teeth are destined to fall out and be replaced by their adult counterparts, when they fall out too early, their absence can cause trouble down the line. Fortunately, space maintainers can keep your child’s teeth from shifting, so their smiles can continue to grow and develop as they should.

Calendar Icon

Schedule your Consult

Map Icon

Visit our practice

Phone Icon

Call (414) 244-9080

Why would my child need space maintainers?

Space maintainers are essential if your child loses a baby tooth early. Baby teeth are meant to fall out eventually. But they also help form the “paths” that the adult teeth take when they emerge, and help young patients maintain proper alignment for their permanent teeth. If they lose a tooth early, they may have a higher risk of orthodontic complications later in life. With a space maintainer, your child’s orthodontist can make sure that early baby tooth loss doesn’t affect their oral development.

Why would my child need space maintainers

Did you know…

Ready to schedule your appointment?

Intraoral Scanner

With our intraoral scanner, we can quickly and accurately create 3D images of your child’s teeth, gums, and bite to make treatment planning a breeze.

Intraoral Scanner

Removable Space Maintainers

For older children who can reliably follow care instructions, removable space maintainers may be a good option. They utilize an artificial tooth or acrylic block to fill a large space between teeth. Their ability to be removed makes it easier for children to keep up with their oral hygiene.

Removable Space Maintainers

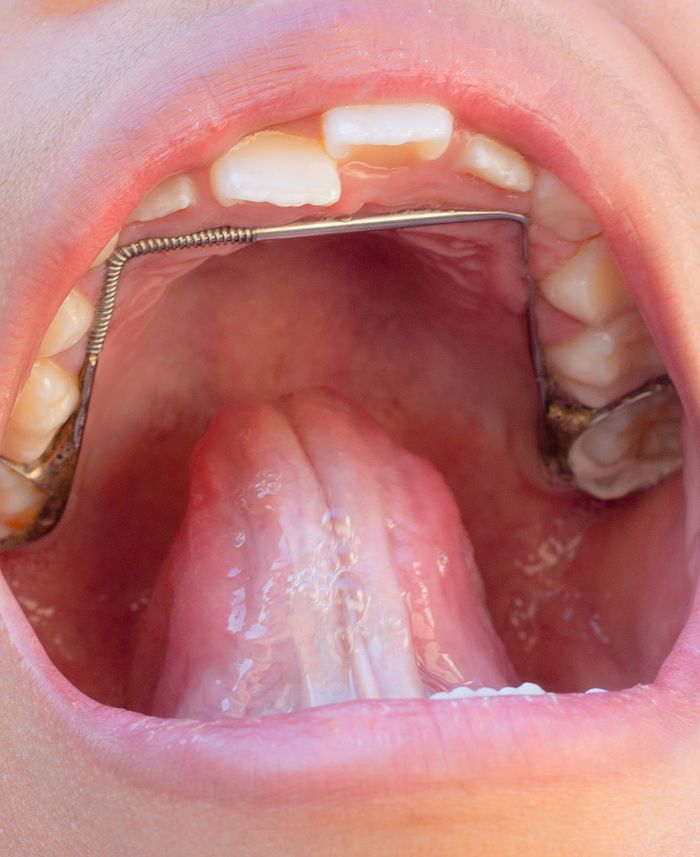
Fixed Space Maintainers

Fixed space maintainers are great for a variety of needs, including for younger children who may not be able to reliably take care of a removable appliance.

Fixed Space Maintainers

Healthy Smiles For Every Budget

Keeping Care Accessible

Every child deserves the chance at a healthy grin. That’s why we have payment options for every budget.

The Benefits of Space Maintenance

Frequently Asked Questions

How should my child care for their space maintainer?2026-01-05T00:34:58+00:00

It is crucial to make sure your child is brushing and flossing daily to prevent cavities from forming around the space maintainer. Encourage your child to avoid chewing gum, sticky candy, and hard foods. In addition, remind your little one to refrain from pulling or tugging on the space maintainer with their fingers, tongue, or other objects. If your child’s space maintainer loosens or breaks, contact our office immediately to schedule an appointment.

Do space maintainers hurt?2026-01-05T00:35:18+00:00

Space maintainers do not cause any pain. Your child may feel some minor discomfort for a few days after the appliance is placed, which is normal. Once they adjust to how it feels, your child will likely forget that the space maintainer is even there.

What are the benefits of space maintenance?2026-01-05T00:35:33+00:00

Space maintenance helps preserve the proper tooth spacing in your child’s mouth after tooth loss. This can create ample space for incoming adult teeth, which helps your child avoid oral development issues down the line. If tooth loss is ignored and a space maintenance treatment is delayed, costly orthodontic care or oral surgery may be necessary. The goal is to recognize and treat the issue as early as possible, so your child’s teeth and jaw can properly grow and maintain space for incoming adult teeth.

Are space maintainers necessary?2026-01-05T00:36:02+00:00

Space maintainers aren’t the right treatment for every child facing tooth loss. If you have an older child whose permanent tooth is about to erupt, a space maintainer may not be necessary. However, space maintainers are almost always recommended for younger children, as they are still a few years away from getting their permanent teeth. If you’re unsure whether your child is the right candidate for a space maintainer, give our office a call so we can schedule a consultation as soon as possible.

Go to Top